





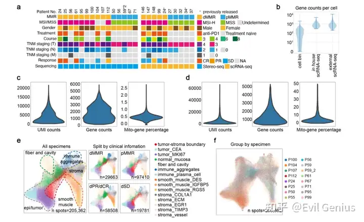
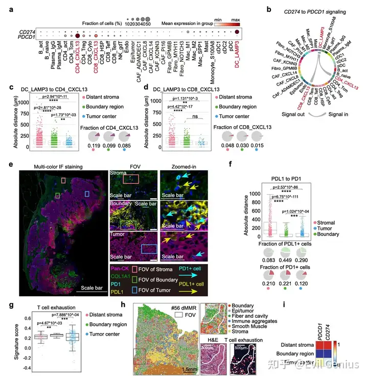
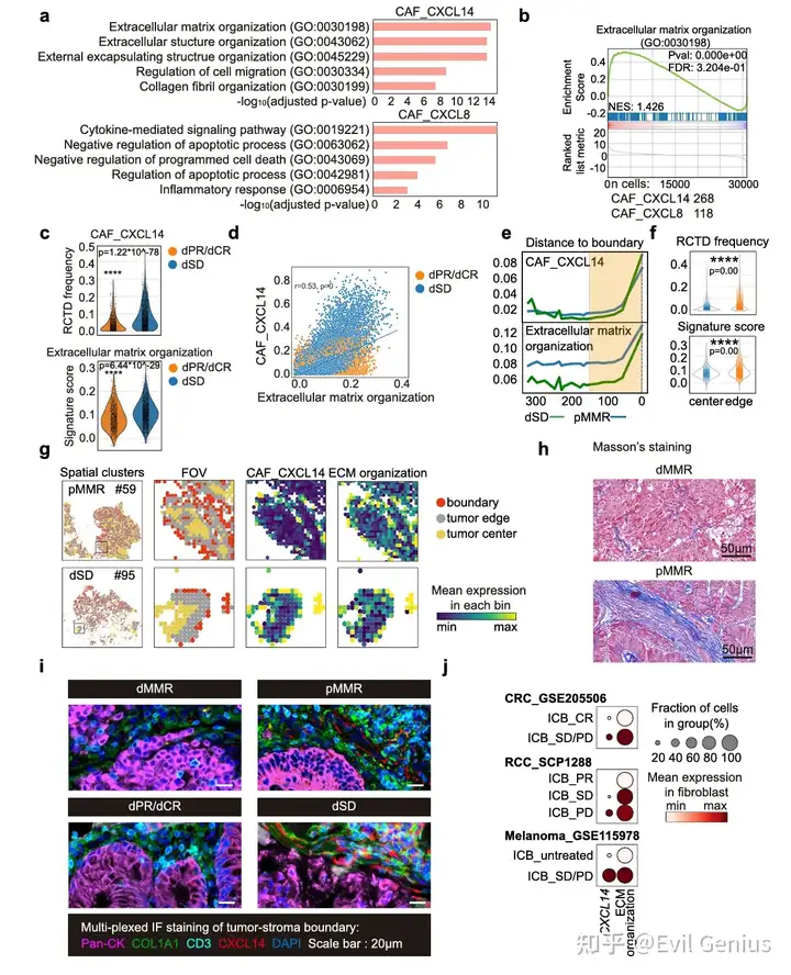
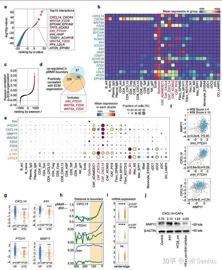
细胞定义 fibroblasts (COL1A1) epi/tumor cells (KRT18, EPCAM) endothelial cells (PECAM1) Among immune cells, categorized T cells into 10 subclusters, including CD4_CXCL13(CXCL13+CD4+T cells), CD4_Tcm (central memory CD4+T cell),CD4_Treg (regulatory CD4+T cell), CD8_Tcyto (cytolytic CD8+T cell),CD8_Teff(effector CD8+T cell), CD8_Tem (effector memory CD8+Tcell), CD8_CXCL13 (CXCL13+CD8+T cells). myeloid cells into 8 clusters covering cDC1 (conventional dendritic cell 1), cDC2, plasmacytoid DC (pDC), DC_LAMP3 (LAMP3+ DC), Mac_M1 and Mac_M2 (M1 and M2-like macrophage), Mac_SPP1 (SPP1+ macrophage), monocyte_S100A8 (S100A8+ monocyte) and mast cell







原创声明:本文系作者授权腾讯云开发者社区发表,未经许可,不得转载。
如有侵权,请联系 cloudcommunity@tencent.com 删除。
原创声明:本文系作者授权腾讯云开发者社区发表,未经许可,不得转载。
如有侵权,请联系 cloudcommunity@tencent.com 删除。