在CT扫描的日常工作中,假牙、颅内动脉瘤弹簧圈、胸部心脏起搏器、人工关节、金属内固定,各种支架时常遇到,但又不能及时移除,为避免这些金属产生的伪影影响临床判断;整理了一些CT去金属伪影的方法:
1、iMAR(iterative Metal Artifact Reduction)
原理:iMAR是通过射线束硬化矫正、线性内插值以及自适应正弦图修复和分频去金属伪影等多种迭代计算,可以明显减少图像中的条状伪影,并同时校正受影响的组织CT值,使之更接近于无金属情况下的真实值。
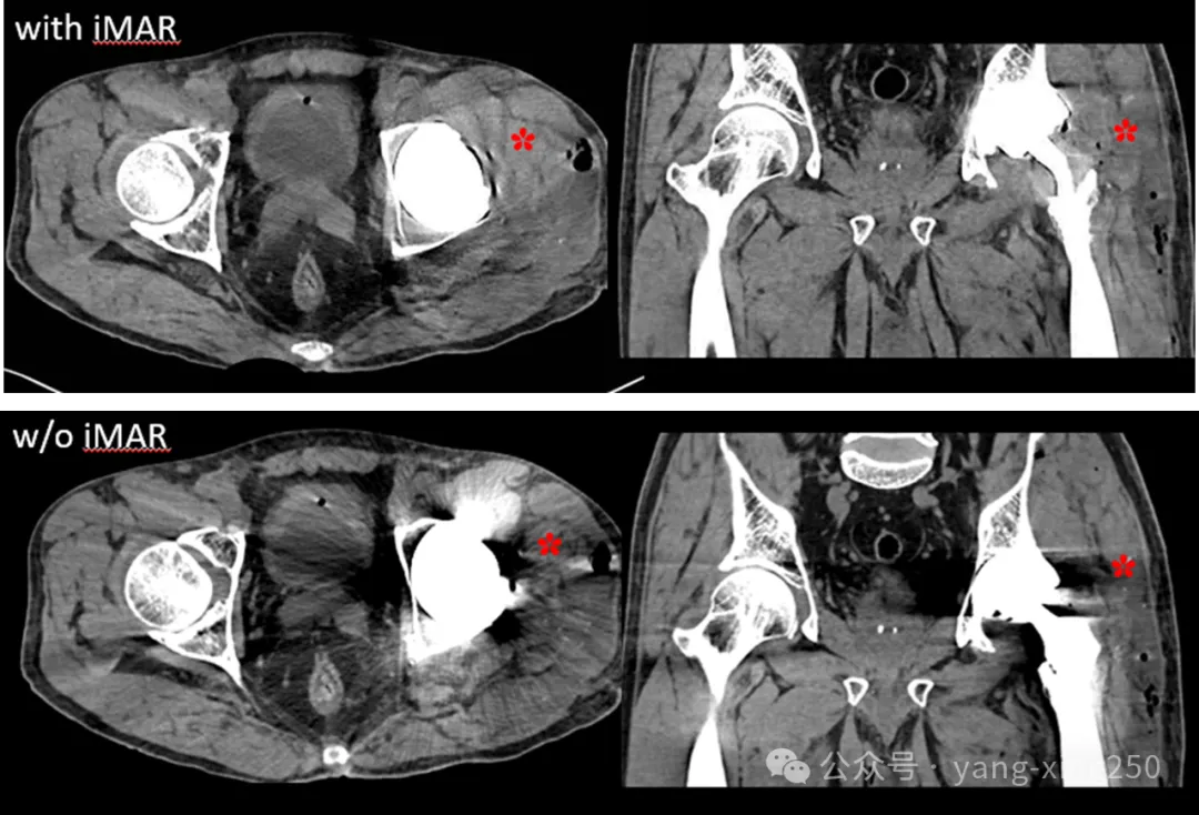
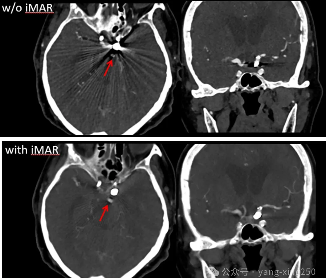
优缺点:在不增加辐射剂量的同时,可回顾重复使用原始数据重建,但是,对产生的严重金属伪影去除效果不理想。iMAR主要应用在光子饥饿效应引起的伪影,如人工金属髋关节置换。


2、单能+(须双能量扫描)
原理:为降低混合能量在通过同一高原子序数金属时,因对不同能量吸收差异被进一步放大而产生的金属伪影;通过双能量扫描,可获得虚拟单能级数据,而重建的虚拟高能级数据在一定程度上具有抑制光子饥饿效应造成的金属伪影。
优缺点:可以回顾重复使用双能数据进行处理;必须进行双能量扫描;在抑制金属伪影的同时亦会抑制其他组织的密度,在临床工作中需权衡;不同材质金属植物,抑制金属伪影的效果不同。

3、扩展CT值
该功能严格意义上讲不是去除金属伪影,而是让因光子饥饿产生的伪影,在更大的窗宽中显示出金属植入物的信息。通常情况下,CT值可以从-1024到+3071进行测量,当我们激活扩展CT值功能后,现有的窗宽将扩大十倍至-10240到+30710。
优缺点:该功能亦可重复使用原始数据进行重建,但需注意对于一些机型,有可能不能够和iMAR同时使用,请留意。

注意:以上抑制金属伪影的方法并非仅能单一使用,在临床工作中,我们可以几种方法组合使用,效果如下:

也有研究表明,iMAR+双能量去金属伪影效果最佳;其次依次为双能量、iMAR。如下图:

原创声明:本文系作者授权腾讯云开发者社区发表,未经许可,不得转载。
如有侵权,请联系 cloudcommunity@tencent.com 删除。
原创声明:本文系作者授权腾讯云开发者社区发表,未经许可,不得转载。
如有侵权,请联系 cloudcommunity@tencent.com 删除。