MG-132 (Z-Leu-Leu-Leu-al ) 是一种肽醛类强效蛋白酶体抑制剂(IC50 = 100 nM或1.2 μM),可有效阻断 26S 蛋白酶体活性,兼有较弱的钙蛋白酶抑制活性,并通过抑制蛋白酶体导致蛋白质积累从而激活自噬并诱导细胞凋亡。

体外研究(In Vitro)
MG-132 (Z-Leu-Leu-Leu-al) 在低浓度 (30 nM) 下启动 PC12 细胞的神经突生长,是一种非常强的 20S 蛋白酶体抑制剂[3]。
MG-132 (10 μM;1 小时) 可逆转 A549 细胞中 TNF-α 对 IκB 降解和 NF-κ B 活化的影响[4]。
MG- 132 (0.75-5 μM;24 小时) 通过 26S 蛋白酶体抑制作用在 KIM-2 细胞中有效诱导 p53 依赖性细胞凋亡[5]。
MG-132 (10-40 μM;24小时) 以时间依赖性和浓度依赖性方式显著降低 C6 神经胶质瘤细胞的活力,并显示 IC50 在 24 小时时为 18.5 μM[6]。
MG-132 (18.5 μM;24 小时) 诱导抗凋亡蛋白 Bcl-2 和 XIAP 的下调,并上调促凋亡蛋白 Bax 和 caspase-3 的表达[6]。
体内研究(In Vivo)
MG-132 (10 mg/kg;腹腔注射;从注射 EC9706 细胞后 5 天开始每天施用 25 天) 显著抑制 EC9706 异种移植物的肿瘤生长,而不会对小鼠造成毒性[7]。
MG-132 (1 mg/kg;静脉注射;每周两次,持续 4 周) 对携带 HeLa 肿瘤的小鼠显示出有效的肿瘤抑制作用[8]。
MG-132 (1-10 μg/kg/day;皮下植入渗透泵;持续 8 天) 显著增加小鼠骨骼肌裂解液中 β-肌营养不良聚糖、α-肌营养不良聚糖、α-肌肌聚糖和抗肌萎缩蛋白的表达水平 (6 月龄雄性 C57BL/10ScSn DMD mdx 小鼠)[9]。
文献验证

Cancer Cell. 2023 Jun 12;41(6):1073-1090.e12.
Representative immunoblot for total p65 and β-ACTIN (loading control) in BMDMs treated with GB1275 for 7 hours after 1 hour-MG132 (10 μM) pretreatment.

Cell. 2025 Feb 6;188(3):814-831.e21.
MG132 (42 μM; 12 h) almost completely blocks mouse embryonic development.
MG-132 顶刊引用文献精选
1. 文章标题
o8G-modified circPLCE1 inhibits lung cancer progression via chaperone-mediated autophagy

摘要
肺癌严重威胁人类健康,但其分子机制尚不清楚。环状RNA(circRNA)与肿瘤进展密切相关,8-氧鸟嘌呤(o8G)修饰在调控RNA命运中的重要作用已逐渐被揭示。然而,circRNA的o8G修饰尚未见报道。我们鉴定出在肺癌中显著下调的circPLCE1,并进一步研究了circPLCE1的o8G修饰及其在肺癌进展中的相关机制。
用MG132(MedChemExpress,HY-13259)抑制蛋白酶体后检测蛋白表达水平。将细胞接种于六孔板(3×10 6 个细胞/孔),当细胞汇合度达到70~80%时进行质粒转染,继续培养48小时。用添加10% FBS的培养基配制含100 nM MG132的工作液;每孔加入2 ml培养基,于0 h和24 h收集蛋白。随后进行PAGE电泳和Western blotting检测蛋白表达。将细胞接种于六孔板(3×10 6 个细胞/孔),当细胞汇合度达到70~80%时进行质粒转染,继续培养48小时。用添加了 10% FBS 的培养基制备含有 100 nM MG132 的工作溶液;每个孔中加入 2 ml 培养基,然后收获蛋白质。
2. 文献标题
ZDHHC20 mediated S -palmitoylation of fatty acid synthase (FASN) promotes hepatocarcinogenesis

摘要
背景:蛋白质棕榈酰化是一种可逆的脂肪酰基修饰,在多种生理过程中发挥重要作用。棕榈酰化失调常与癌症的形成相关。S-棕榈酰化的棕榈酰转移酶如何参与肝细胞癌(HCC)的发生发展尚不清楚。
结论:我们的研究结果表明 ZDHHC20 在促进肝癌发生中起着关键作用,并且是蛋白质棕榈酰化和泛素化修饰相互制约模式的潜在机制。
将达到80%汇合度的细胞用指定的构建体转染。将达到80%汇合度的细胞用指定的构建体转染。转染48小时后,将细胞置于10 µM MG132 (MedChemExpress, HY-13259) 中孵育6小时。随后,使用RIPA缓冲液裂解细胞。超声处理后,将所有裂解物以12,000 g(4℃,20分钟)离心。超声处理后,将所有裂解物以12,000 g(4℃,20分钟)离心。
3. 文献标题
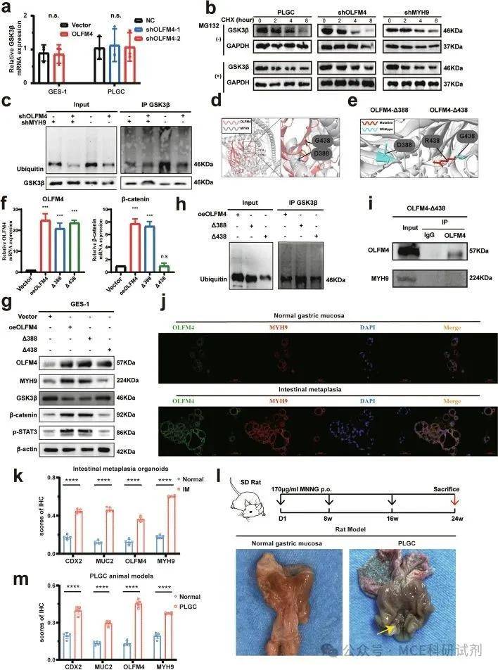
OLFM4 promotes the progression of intestinal metaplasia through activation of the MYH9/GSK3β/β-catenin pathway

摘要
背景:肠上皮化生 (IM) 分为完全肠上皮化生 (CIM) 和不完全肠上皮化生 (IIM)。确诊为 IIM 的患者罹患胃癌的风险较高,因此亟需早期筛查措施。除了诊断的复杂性之外,驱动 IIM 患者胃癌进展的确切机制仍不清楚。OLFM4 在多种肿瘤中过表达,包括结直肠癌、胃癌、胰腺癌和卵巢癌,并且其表达与肿瘤进展相关。
结论:OLFM4 是一种新型的肠化性肠病 (IIM) 生物标志物,可作为划定早期胃癌筛查重点人群的重要辅助手段。最后,我们的研究明确了参与肠化性肠病 (IM) 进展的细胞信号通路。

将三组 GES-1 细胞与 2 μM MG132(HY-13259,MCE,美国)一起孵育 12 小时,然后进行蛋白质提取,而另一组细胞则不进行处理。用 20 μg/mL CHX(C7698,Sigma-Aldrich)处理不同时间后,收获细胞并准备进行 Western Blot。用 20 μg/mL CHX(C7698,Sigma-Aldrich)处理不同时间后,收获细胞并准备进行 Western Blot。
4. 文献标题
A positive feedback loop between PFKP and c-Myc drives head and neck squamous cell carcinoma progression


参考文献
[1]. Harhouri K, et al. MG132-induced progerin clearance is mediated by autophagy activation and splicing regulation. EMBO Mol Med. 2017 Sep;9(9):1294-1313.
[2]. Fan WH, et al. Proteasome inhibitor MG-132 induces C6 glioma cell apoptosis via oxidative stress. Acta Pharmacol Sin. 2011 May;32(5):619-25.
[3]. Tsubuki S, et al. Differential inhibition of calpain and proteasome activities by peptidyl aldehydes of di-leucine and tri-leucine. J Biochem. 1996 Mar;119(3):572-6.
[4]. Fiedler MA, et al. Inhibition of TNF-alpha-induced NF-kappaB activation and IL-8 release in A549 cells with the proteasome inhibitor MG-132. Am J Respir Cell Mol Biol. 1998 Aug;19(2):259-68.
[5]. MacLaren AP, et al. p53-dependent apoptosis induced by proteasome inhibition in mammary epithelial cells. Cell Death Differ. 2001 Mar;8(3):210-8.
[6]. Han YH, et al. The effect of MG132, a proteasome inhibitor on HeLa cells in relation to cell growth, reactive oxygen species and GSH. Oncol Rep. 2009 Jul;22(1):215-21.
[7]. Dang L, et al. Proteasome inhibitor MG132 inhibits the proliferation and promotes the cisplatin-inducedapoptosis of human esophageal squamous cell carcinoma cells. Int J Mol Med. 2014 May;33(5):1083-8.
[8]. Matsumoto Y, et al. Enhanced efficacy against cervical carcinomas through polymeric micelles physically incorporating theproteasome inhibitor MG132. Cancer Sci. 2016 Jun;107(6):773-81.
[9]. Bonuccelli G, et al. Proteasome inhibitor (MG-132) treatment of mdx mice rescues the expression and membrane localization of dystrophin and dystrophin-associated proteins. Am J Pathol. 2003 Oct;163(4):1663-75.
原创声明:本文系作者授权腾讯云开发者社区发表,未经许可,不得转载。
如有侵权,请联系 cloudcommunity@tencent.com 删除。
原创声明:本文系作者授权腾讯云开发者社区发表,未经许可,不得转载。
如有侵权,请联系 cloudcommunity@tencent.com 删除。