我有一张分割好的图像。我需要验证图像中椭圆状结构的强度变化。我需要检查那个椭圆是否均匀白色。
原始图像

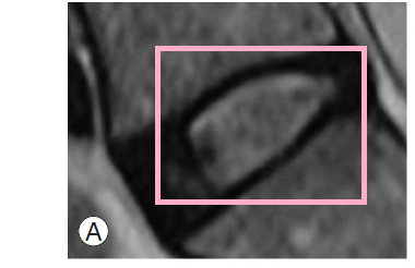
椭圆状结构在矩形内。

我的分割图像是

我想要比较原始图像(这是均匀白色)和分割区域。
发布于 2015-09-04 09:39:40
regionprops非常适合这类任务。您可以将分割后的二进制图像和原始图像传递给它,以检索每个区域中像素的列表(假设每个区域没有连接,如示例图像所示)。它们将以每个区域的n x 1向量的形式出现,作为结构数组返回。
stats = regionprops(BW, I, 'PixelValues'); (您可能希望检索regionprops返回的其他值,如BoundingBox或Centroid,以帮助识别哪组像素更容易属于哪个区域。查阅文档,看看有哪些选项可用。)
然后,您可以定义一些统计函数来显示每个区域内的变化,例如,计算每个区域的方差和标准差:
for n = 1:length(stats)
stats(n).var = var(stats(n).PixelValues);
stats(n).std = std(stats(n).PixelValues);
end如果你对“强度变化”有其他特定的定义,那么你需要开发一些计算它的函数,然后调用它,而不是像var或std那样的内置函数。
https://stackoverflow.com/questions/32391088
复制相似问题