

背 景
本研究的目的是探讨视觉皮层中的血氧水平依赖(BOLD)信号变化,是否可以作为反映经颅电刺激(tES)在线和离线效应的生物标志物。研究采用阳极经颅直流电刺激(tDCS)和10 Hz经颅交流电刺激(tACS),刺激时间为10分钟,刺激部位为健康成年人枕叶皮层,在呈现不同视觉刺激时进行。研究设计为交叉、双盲实验。同时,也进行了控制实验,使用了假刺激以及另一种电极布置。
研究方法
16名健康成年志愿者报名参加本研究。刺激电极(OZ 、CZ)直流电刺激电流1mA。交流电刺激电流峰峰值2mA,频率10Hz。刺激时间10min。此外,控制组实验中,还使用了另一种交流电刺激布置,电极位置为C5–C6,聚焦电场于中央-额叶区域。Run 3 vs Run 1 评估在线效应Run 2 vs Run 4 评估离线效应。

图1视觉感知情况
结 果
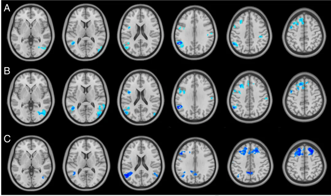
图A(右视野)vs 图B(左视野):表示在进行经颅直流电刺激(tDCS)和视觉刺激时,视野中的BOLD信号增加的区域。(p < 0.001,簇大小 ≥ 40)图C展示了电流刺激与视觉刺激位置之间的统计交互作用。伪刺激没有引起BOLD反应的任何可检测变化。随后,对比阳极tDCS和伪刺激效果的统计分析证实了电流引起的变化局限于枕叶区域。关于刺激的后效应,未观察到显著的电流特异性BOLD变化。

图2 结果经颅直流电刺激(tDCS)与伪刺激的结果
在线效应:与经颅直流电刺激(tDCS)不同,tACS 没有在刺激期间(即“在线”效应)对皮层产生显著影响。无论刺激是施加在枕叶皮层还是中央-额区,都未观察到显著的即时皮层活动变化。即时后效(aftereffect):尽管tACS在在线效应上没有表现出显著影响,但即时后效却显现出了显著的BOLD信号下降。对于施加在枕叶皮层的tACS刺激,BOLD信号下降在视觉相关区域(如下枕回和中枕回)以及一些远距离区域都得到了体现。而对于中央-额区的tACS刺激,在枕叶区域并未观察到任何显著效应。与假刺激的比较:通过将tACS在枕叶皮层的后效与假刺激的后效进行比较确认了tACS引起的BOLD信号变化的方向和空间定位:枕叶以及顶-额区域的BOLD信号出现显著下降。

图3 经颅交流电刺激(tACS)
讨 论
对于经颅直流电刺激(tDCS),阳极刺激的在线效应较小。且观察到的BOLD信号增加主要局限于视觉皮层或与最大电场相关的功能区域。刺激后效应在BOLD反应水平上并没有显著性变化,与主流理论似乎有些不符。关于BOLD fMRI的基本机制,与直觉预期相反,BOLD信号的增加或减少主要对应于神经微回路中的兴奋-抑制平衡的变化,而不是局部神经放电率的改变(Logothetis, 2008)。因此,目标区域中BOLD反应的缺失不应被视为完全没有效应。在tACS的情况下,我们的主要发现是,在刺激期间并没有显著的BOLD活动变化,但在刺激后强烈且广泛的BOLD信号下降。这些结果与广泛接受的假设一致,即tACS依赖于施加的电场与局部振荡活动之间的功能共振。进而通过相位偏移调节短程和长程的连接性,而不是像tDCS那样通过“机械性”调节神经兴奋性。
原创声明:本文系作者授权腾讯云开发者社区发表,未经许可,不得转载。
如有侵权,请联系 cloudcommunity@tencent.com 删除。
原创声明:本文系作者授权腾讯云开发者社区发表,未经许可,不得转载。
如有侵权,请联系 cloudcommunity@tencent.com 删除。