首页
学习
活动
专区
圈层
工具
发布
社区首页 >专栏 >顶刊分享----空间免疫评分系统预测肝癌复发

顶刊分享----空间免疫评分系统预测肝癌复发

原创
作者头像
追风少年i
发布2025-03-17 14:17:20
发布2025-03-17 14:17:20
2440
举报

作者,Evil Genius

2025的一季度马上就要过去了,大家的项目有进展吗?

作为生信从业者,希望大家能尽早分析结束,发表一篇高质量的文章。

项目的结束无论从哪方面来讲,都是有利的。

很多人联系,总是说到了需要的时候再去做,我个人其实不推荐,如果已经确定有单细胞空间的项目,提前准备才是可取的,不要自己的数据下来了0经验分析,那需要踩的坑、时间成本以及分析错误的代价都是无可估量的。

当然了,自己的事情要自己决定。

今日参考文献

看作者介绍,应该是国内多个单位联合发表的。

我们来学习一下

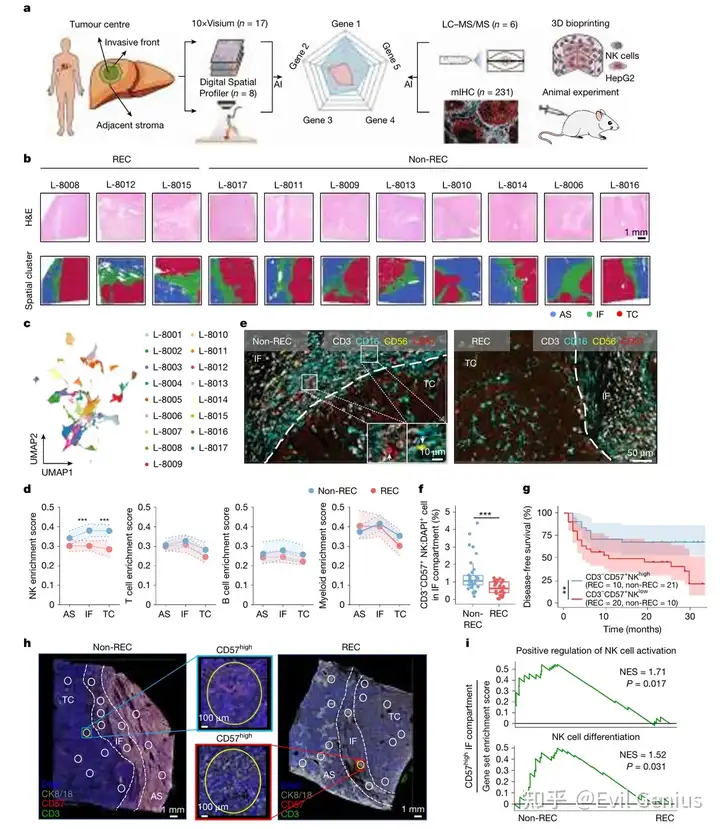
HCC是全球癌症相关死亡的第三大原因,切除术后复发率约为70%。

研究肿瘤复发需要充分考虑肿瘤微环境(TME)内的空间异质性和相互作用。

HCC中的TME的特征在于显著的空间异质性,不同肿瘤区域的免疫细胞组成不同。先天免疫系统的NK细胞已成为早期HCC的潜在预后指标。NK细胞活性和浸润(特别是肿瘤内)的增加与生存结局的改善相关。

肿瘤内免疫细胞的空间分布与转移性复发有关,表明免疫细胞在肿瘤区域的定位可能影响HCC复发。

NK cells at the IF lowers recurrence

分析免疫细胞的空间异质性是否影响HCC复发(10X visium)

聚类分析将整个组织分成三个组织区域:相邻间质(AS)、IF和TC。

通过基于各自的基因标志物计算富集分数来表征NK细胞、T细胞、B细胞和骨髓细胞的丰度。

REC和非REC HCC之间最显著的差异是非REC HCC IF中NK细胞的富集评分显著高于REC HCC(P = 4.3 × 10-4),表明IF中NK细胞浸润增加的患者复发风险较低。

与REC HCC相比,非REC HCC的IF中显著富集三种不同的NK细胞群:CD3-CD56+ ordinary NK(P = 3.5 × 10-2)、CD3-CD16+CD56+细胞毒性NK(P = 3.0 × 10-3)和CD3-CD57+ mature NK(P = 8.0 × 10-4)。

为了确定哪种NK细胞亚群与HCC预后密切相关,比较了三种NK细胞群与无病生存期(DFS)的关系,研究表明IF中的CD3-CD57+NK细胞是与HCC复发风险最密切相关的NK细胞亚群。

空间基因模式预测复发

为了识别非REC和REC HCC中CD3-CD57+NK细胞之间的差异表达基因(DEG),这可以作为复发风险的预测指标,使用GeoMx数字空间分析仪(DSP)全转录组图谱来评估AS中CD3-CD57+NK细胞富集区的18677个蛋白编码人类基因,来自队列的八个HCC组织的IF和TC区域。

空间分析显示,241个DEG在非REC患者与REC患者的AS、IF和TC隔室中具有不同的空间模式。

基于独立的单细胞RNA测序(scRNA-seq)数据,在这241个DEG中,23个在NK细胞中与其他免疫细胞相比差异表达。

对来自癌症基因组图谱(TCGA)数据库的HCC患者的分析显示,五个DEG的DFS和基因表达水平(仅来自TC)在非REC和REC HCC之间没有显著差异,强调了五个DEG(生物标志物)的空间信息在准确预测HCC复发中的重要性。

TIMES系统对复发风险进行分层

建立基于5个DEG空间信息的预测模型。

在模型开发阶段,利用这61名患者的全切片mIHC数据,构建并验证了一个基于极端梯度提升(XGBoost)的机器学习模型。预测HCC复发风险的算法。

为了进一步增强该模型的潜在临床实用性,设计了一个基于训练的XGBoost模型的两步评分系统,以整合来自空间上不同的组织切片和多种生物标志物的信息。这种方法产生了一个综合评分(称为TIMES评分),范围从0到1,评分越高表明HCC复发风险越大REC组织的TIMES评分显著高于非REC组织的TIMES评分,中值评分差异为0.375. TIMES评分系统以82.2%的准确性和85.7%的特异性区分非REC和REC组织。

基于以下内容构建了三个多变量模型:(1)TIMES评分系统的敏感性和特异性显著高于其他17个临床因素,(2)肿瘤大小测量,(3)血管浸润因素(AUC = 0.82)此外,TIMES评分系统优于仅基于NK细胞亚群的预测模型,如使用单独的mIHC染色数据集所证明的。这些发现强调了TIMES综合方法的上级预后价值,与依赖于任何单一临床因素或生物标志物相比,TIMES综合方法结合了来自五种生物标志物的空间信息。

为了探索TIMES评分系统在指导HCC患者个性化治疗策略中的临床实用性,临床医生应用TIMES对25例HCC患者的试点队列中的患者进行分层,这些患者在手术后接受了辅助抗PD 1治疗。

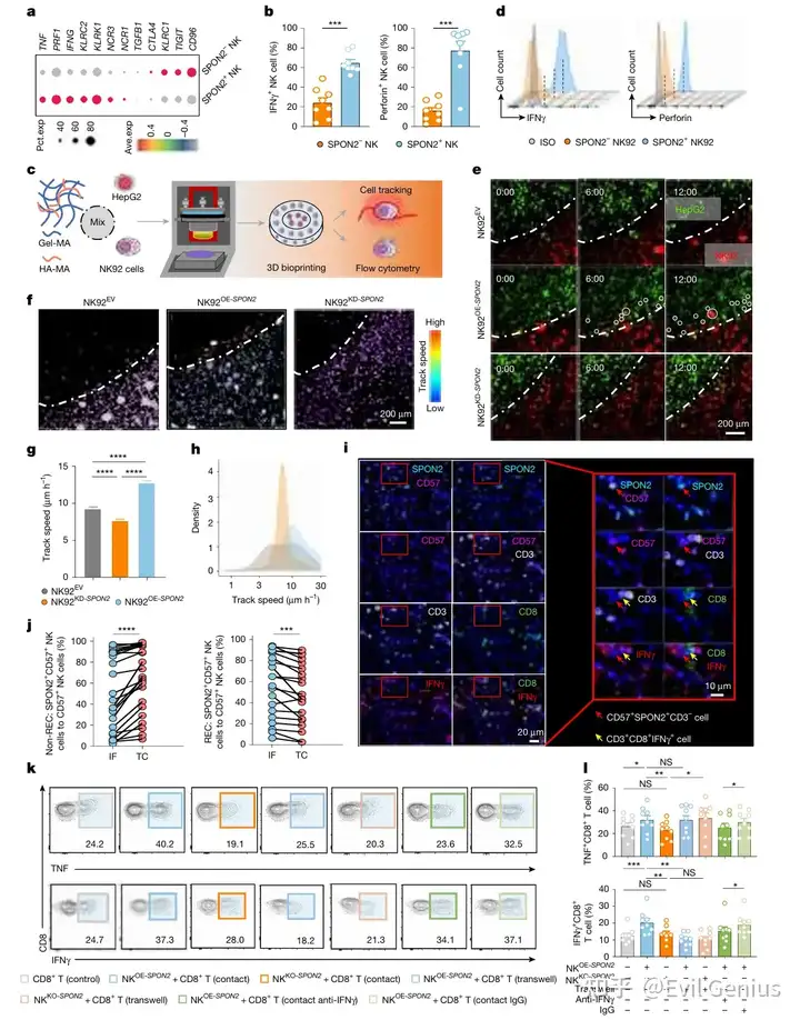
SPON2+ NK:活性和肿瘤浸润

为了揭示TIMES预测能力的免疫学基础,研究了这些生物标志物在形成TME中的功能作用。在五种生物标志物中,SPON2在TIMES评分系统中是最具预测性的,引导探索其免疫调节作用和对HCC复发的潜在影响。REC HCC揭示SPON 2特别富集在NK细胞中,与SPON2-NK细胞相比,SPON2+NK细胞表达更高水平的活化标志物(例如,TNF、PRF1、IFNG、KLRC2、KLRK1、NCR 3和NCR1)和较低水平的抑制性受体(例如,CD96、TIGIT、KLRC1、CTLA 4和TGFB1)。人外周血的流式细胞术分析进一步证明,SPON2+NK细胞比SPON2-NK细胞表达显著更高水平的IFNγ(P = 1.0 × 10-4)和穿孔素(P = 2.0 × 10-4)。基于单细胞RNA-seq数据集发现了类似的结果。基因GO分析显示在SPON2+ NK细胞中促进抗肿瘤NK细胞功能的途径富集。DSP转录组学数据显示,SPON2highCD57high区域(ROI)比SPON2lowCD57highROI具有显著更高的IFNγ受体基因表达。

接下来研究了肿瘤内SPON2表达与NK细胞区域分布之间的关系,Visium空间数据显示SPON2+NK细胞在非REC组织的TC和REC组织的IF中富集。

TC中SPON2+NKhigh富集在与免疫激活、细胞运动、白细胞迁移和白细胞介导的免疫相关的途径中。

从TC的DSP ROI的基因集富集分析显示,SPON2highCD57highROI富集在与白细胞趋化、细胞粘附、天然免疫应答以及对IFNγ、IL-12和IL-18的免疫应答相关的途径中,表明SPON2+NK细胞的迁移潜力。

这些发现表明SPON2有助于NK细胞迁移和对肿瘤细胞的细胞毒性。

SPON2+NK和CD8+T细胞相互作用

为了研究SPON2+NK细胞是否在抗肿瘤免疫应答中与CD8+T细胞相互作用,使用mIHC和单细胞RNA-seq数据进行了进一步分析。

在28个HCC组织中的mIHC空间定位表明,SPON2+NK细胞是CD3-CD68-CD163-CD16+CD56+CD57+,证实了它们是NK细胞而不是T细胞或巨噬细胞。

HCC单细胞RNA-seq数据28的配体-受体网络分析揭示了II型IFN(IFNγ)途径是区分SPON2+与SPON2-NK细胞的主要免疫相关信号,预测CD8+T细胞是作用于SPON2+NK细胞的IFNγ的主要来源。

空间相关性表明SPON2+NK细胞和CD8+T细胞之间可能存在相互作用,这可能有助于抗肿瘤免疫。

为了确定CD8+T细胞和SPON2+NK细胞之间的直接接触是否是CD8+T细胞抗肿瘤活性所必需的,使用HepG 2细胞、SPON2敲除的NK细胞和未敲除的NK细胞进行共培养实验。

研究表明,SPON2+NK细胞和CD8+T细胞之间的直接接触对于它们的抗肿瘤活性是必需的,由IFNγ信号传导介导。

NK细胞中的SPON2缺失增加HCC复发

小鼠模型。

使用多种HCC小鼠模型的体内研究,结合对患者样品的分析,为SPON2+NKNK细胞在HCC中的抗肿瘤作用提供了证据。

最后,关注一下分析方法

空间转录组的分析与可视化

DSP分析

分析代码还挺全面的,在https://codeocean.com/capsule/3972922/tree/v1

生活很好,有你更好

原创声明:本文系作者授权腾讯云开发者社区发表,未经许可,不得转载。

如有侵权,请联系 cloudcommunity@tencent.com 删除。

原创声明:本文系作者授权腾讯云开发者社区发表,未经许可,不得转载。

如有侵权,请联系 cloudcommunity@tencent.com 删除。

评论
登录后参与评论
0 条评论
热度
最新
推荐阅读
目录
  • 作者,Evil Genius
  • 2025的一季度马上就要过去了,大家的项目有进展吗?
  • 作为生信从业者,希望大家能尽早分析结束,发表一篇高质量的文章。
  • 项目的结束无论从哪方面来讲,都是有利的。
  • 很多人联系,总是说到了需要的时候再去做,我个人其实不推荐,如果已经确定有单细胞空间的项目,提前准备才是可取的,不要自己的数据下来了0经验分析,那需要踩的坑、时间成本以及分析错误的代价都是无可估量的。
  • 当然了,自己的事情要自己决定。
  • 今日参考文献
  • 看作者介绍,应该是国内多个单位联合发表的。
  • 我们来学习一下
  • HCC是全球癌症相关死亡的第三大原因,切除术后复发率约为70%。
  • 研究肿瘤复发需要充分考虑肿瘤微环境(TME)内的空间异质性和相互作用。
  • HCC中的TME的特征在于显著的空间异质性,不同肿瘤区域的免疫细胞组成不同。先天免疫系统的NK细胞已成为早期HCC的潜在预后指标。NK细胞活性和浸润(特别是肿瘤内)的增加与生存结局的改善相关。
  • 肿瘤内免疫细胞的空间分布与转移性复发有关,表明免疫细胞在肿瘤区域的定位可能影响HCC复发。
  • NK cells at the IF lowers recurrence
  • 分析免疫细胞的空间异质性是否影响HCC复发(10X visium)
  • 聚类分析将整个组织分成三个组织区域:相邻间质(AS)、IF和TC。
  • 通过基于各自的基因标志物计算富集分数来表征NK细胞、T细胞、B细胞和骨髓细胞的丰度。
  • REC和非REC HCC之间最显著的差异是非REC HCC IF中NK细胞的富集评分显著高于REC HCC(P = 4.3 × 10-4),表明IF中NK细胞浸润增加的患者复发风险较低。
  • 与REC HCC相比,非REC HCC的IF中显著富集三种不同的NK细胞群:CD3-CD56+ ordinary NK(P = 3.5 × 10-2)、CD3-CD16+CD56+细胞毒性NK(P = 3.0 × 10-3)和CD3-CD57+ mature NK(P = 8.0 × 10-4)。
  • 为了确定哪种NK细胞亚群与HCC预后密切相关,比较了三种NK细胞群与无病生存期(DFS)的关系,研究表明IF中的CD3-CD57+NK细胞是与HCC复发风险最密切相关的NK细胞亚群。
  • 空间基因模式预测复发
  • 为了识别非REC和REC HCC中CD3-CD57+NK细胞之间的差异表达基因(DEG),这可以作为复发风险的预测指标,使用GeoMx数字空间分析仪(DSP)全转录组图谱来评估AS中CD3-CD57+NK细胞富集区的18677个蛋白编码人类基因,来自队列的八个HCC组织的IF和TC区域。
  • 空间分析显示,241个DEG在非REC患者与REC患者的AS、IF和TC隔室中具有不同的空间模式。
  • 基于独立的单细胞RNA测序(scRNA-seq)数据,在这241个DEG中,23个在NK细胞中与其他免疫细胞相比差异表达。
  • 对来自癌症基因组图谱(TCGA)数据库的HCC患者的分析显示,五个DEG的DFS和基因表达水平(仅来自TC)在非REC和REC HCC之间没有显著差异,强调了五个DEG(生物标志物)的空间信息在准确预测HCC复发中的重要性。
  • TIMES系统对复发风险进行分层
  • 建立基于5个DEG空间信息的预测模型。
  • 在模型开发阶段,利用这61名患者的全切片mIHC数据,构建并验证了一个基于极端梯度提升(XGBoost)的机器学习模型。预测HCC复发风险的算法。
  • 为了进一步增强该模型的潜在临床实用性,设计了一个基于训练的XGBoost模型的两步评分系统,以整合来自空间上不同的组织切片和多种生物标志物的信息。这种方法产生了一个综合评分(称为TIMES评分),范围从0到1,评分越高表明HCC复发风险越大REC组织的TIMES评分显著高于非REC组织的TIMES评分,中值评分差异为0.375. TIMES评分系统以82.2%的准确性和85.7%的特异性区分非REC和REC组织。
  • 基于以下内容构建了三个多变量模型:(1)TIMES评分系统的敏感性和特异性显著高于其他17个临床因素,(2)肿瘤大小测量,(3)血管浸润因素(AUC = 0.82)此外,TIMES评分系统优于仅基于NK细胞亚群的预测模型,如使用单独的mIHC染色数据集所证明的。这些发现强调了TIMES综合方法的上级预后价值,与依赖于任何单一临床因素或生物标志物相比,TIMES综合方法结合了来自五种生物标志物的空间信息。
  • 为了探索TIMES评分系统在指导HCC患者个性化治疗策略中的临床实用性,临床医生应用TIMES对25例HCC患者的试点队列中的患者进行分层,这些患者在手术后接受了辅助抗PD 1治疗。
  • SPON2+ NK:活性和肿瘤浸润
  • 为了揭示TIMES预测能力的免疫学基础,研究了这些生物标志物在形成TME中的功能作用。在五种生物标志物中,SPON2在TIMES评分系统中是最具预测性的,引导探索其免疫调节作用和对HCC复发的潜在影响。REC HCC揭示SPON 2特别富集在NK细胞中,与SPON2-NK细胞相比,SPON2+NK细胞表达更高水平的活化标志物(例如,TNF、PRF1、IFNG、KLRC2、KLRK1、NCR 3和NCR1)和较低水平的抑制性受体(例如,CD96、TIGIT、KLRC1、CTLA 4和TGFB1)。人外周血的流式细胞术分析进一步证明,SPON2+NK细胞比SPON2-NK细胞表达显著更高水平的IFNγ(P = 1.0 × 10-4)和穿孔素(P = 2.0 × 10-4)。基于单细胞RNA-seq数据集发现了类似的结果。基因GO分析显示在SPON2+ NK细胞中促进抗肿瘤NK细胞功能的途径富集。DSP转录组学数据显示,SPON2highCD57high区域(ROI)比SPON2lowCD57highROI具有显著更高的IFNγ受体基因表达。
  • 接下来研究了肿瘤内SPON2表达与NK细胞区域分布之间的关系,Visium空间数据显示SPON2+NK细胞在非REC组织的TC和REC组织的IF中富集。
  • TC中SPON2+NKhigh富集在与免疫激活、细胞运动、白细胞迁移和白细胞介导的免疫相关的途径中。
  • 从TC的DSP ROI的基因集富集分析显示,SPON2highCD57highROI富集在与白细胞趋化、细胞粘附、天然免疫应答以及对IFNγ、IL-12和IL-18的免疫应答相关的途径中,表明SPON2+NK细胞的迁移潜力。
  • 这些发现表明SPON2有助于NK细胞迁移和对肿瘤细胞的细胞毒性。
  • SPON2+NK和CD8+T细胞相互作用
  • 为了研究SPON2+NK细胞是否在抗肿瘤免疫应答中与CD8+T细胞相互作用,使用mIHC和单细胞RNA-seq数据进行了进一步分析。
  • 在28个HCC组织中的mIHC空间定位表明,SPON2+NK细胞是CD3-CD68-CD163-CD16+CD56+CD57+,证实了它们是NK细胞而不是T细胞或巨噬细胞。
  • HCC单细胞RNA-seq数据28的配体-受体网络分析揭示了II型IFN(IFNγ)途径是区分SPON2+与SPON2-NK细胞的主要免疫相关信号,预测CD8+T细胞是作用于SPON2+NK细胞的IFNγ的主要来源。
  • 空间相关性表明SPON2+NK细胞和CD8+T细胞之间可能存在相互作用,这可能有助于抗肿瘤免疫。
  • 为了确定CD8+T细胞和SPON2+NK细胞之间的直接接触是否是CD8+T细胞抗肿瘤活性所必需的,使用HepG 2细胞、SPON2敲除的NK细胞和未敲除的NK细胞进行共培养实验。
  • 研究表明,SPON2+NK细胞和CD8+T细胞之间的直接接触对于它们的抗肿瘤活性是必需的,由IFNγ信号传导介导。
  • NK细胞中的SPON2缺失增加HCC复发
  • 小鼠模型。
  • 使用多种HCC小鼠模型的体内研究,结合对患者样品的分析,为SPON2+NKNK细胞在HCC中的抗肿瘤作用提供了证据。
  • 最后,关注一下分析方法
  • 空间转录组的分析与可视化
  • DSP分析
  • 分析代码还挺全面的,在https://codeocean.com/capsule/3972922/tree/v1
  • 生活很好,有你更好
领券
问题归档专栏文章快讯文章归档关键词归档开发者手册归档开发者手册 Section 归档